
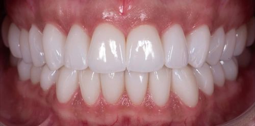
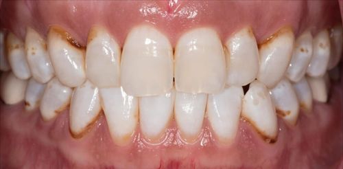
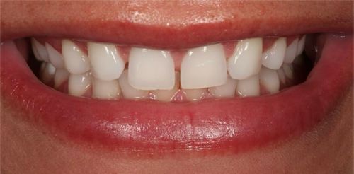
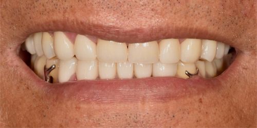
Before & Afters
Restoring Smiles, Changing Lives
See Patient Stories Here
At Dental Inc., Dr. Kotadia’s favorite thing is seeing patients smile proudly once again. Whether you’re worried about your dental health, self-conscious about how your smile looks, or you’re experiencing oral pain, we can provide the care you need. Take a look at some real stories from past patients on this page.


Heading
Sample text is being used as a placeholder. Sample text helps you understand how real text may look.


Patient 10


Patient 9
.webp)

Patient 8
.webp)

Patient 7
.webp)

Patient 6
.webp)

Patient 5
.webp)

Patient 4


Patient 3
.webp)

Patient 2

.webp)
Patient 1
